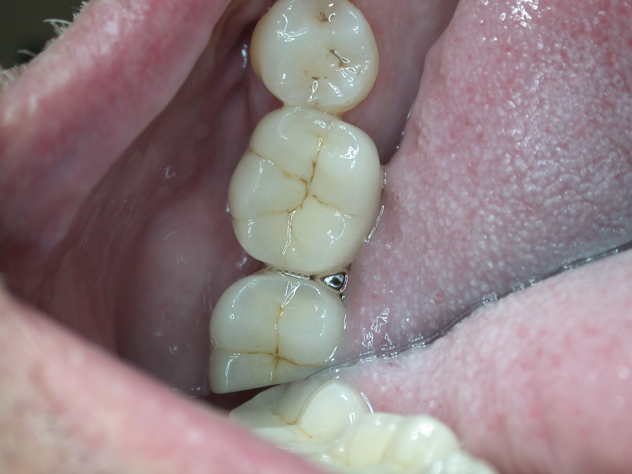
Clinical Complication #1
A Rotating Implant Restoration?
Implant Manufacturer: Straumann ITI
Implant Abutment System: RC Solid Abutment
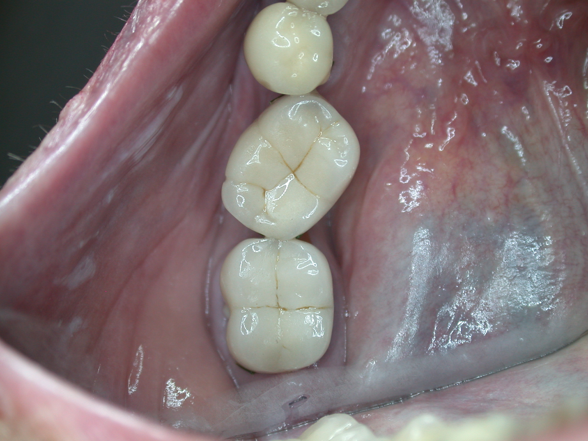
Clinical Complication #2
Another Rotating Implant restoration?
Implant Manufacturer: Straumann ITI
Implant Abutment System: RC Solid Abutment



